Intraarterial Chemotherapy

Intraarterial Chemotherapy

Intraarterial chemotherapy is the administration of chemotherapy drugs directly to the tumor tissue through the arteries that feed the tumor. In normal chemotherapy, the drug is given into the systemic circulation via the vein of the arm and distributes evenly throughout the body. This type of chemotherapy is the only choice in advanced cancers that have spread to many organs in the body. However, sometimes the tumor may be located in a single site or organ in our body. In such patients, if the tumor is treated with intra-arterial chemotherapy, the entire chemotherapy drug can be administered directly into the area where the tumor is located. Thus, a much higher concentration of chemotherapy is given to the tumor and the systemic side effects are reduced as the chemotherapy drug is less dispersed throughout the body. 

Retinoblastoma is one of the most suitable tumors for intraarterial chemotherapy. Most patients can be completely cured without losing the eye.

In order to treat tumors more effectively, the idea of administering the chemotherapy drug through the feeding arteries was first applied in head and neck tumors in the 1960s. Then, intraarterial chemotherapy has been widely used in many organs and regions. One of the tumors where intraarterial chemotherapy was  most successful is retinoblastoma, which is a common childhood eye cancer. Once, the only treatment for these patients was surgical removal of the eye, whereas today, in more than 95% of the patients, the disease can be cured by infusing chemotherapy to the eye artery (ophthalmic artery) and the eyes can be preserved. Intraarterial chemotherapy is theoretically applicable to tumors in each region or organ that can be reached by angiography in the body. However, in some tumors, some factors, such as the feeding vessels being too thin and too numerous, can make the process difficult. In general, intraarterial chemotherapy is most commonly used in liver, tumors, head and neck tumors and limb (limb) tumors. However, it is also used successfully for lung, breast and rectum cancers in some centers and hospitals in the world.

 

Intraarterial chemotherapy is a procedure similar to cardiac angiography for the patient. After entering  the groin artery under local anesthesia, the arteries of the organ where the tumors are located are catheterized using special catheter and guide wires. Serial angiography runs are then taken to identify the arteries that feed and do not feed the tumor. Subsequently, a much thinner and softer catheter (microcatheter) is advanced through the main catheter and placed into the feeding vessel closest to the tumor, but covering all the vessels going to the tumor. After this stage, the chemotherapy drug is infused directly into the tumor for 1-2 hours through the microcatheter. Since intraarterial chemotherapy is an angiographic procedure, compression must applied to the groin after the treatment to prevent bleeding from the entry point, or special “closure devices” must be used to seal it. In any case, the patient stays in bed for up to 6 hours. After treatment, most patients can go home, but in some cases, 1-2 days hospitalization may be required.

 

Intraarterial chemotherapy is usually repeated 2-5 times with an interval of 2-3 weeks. For repeat angiograms, intervention can be made from the same groin or the other groin. If intra-arterial chemotherapy is to be performed for long periods or repeatedly,  a permanent arterial port may be implanted. For this purpose, the port catheters used in classical chemotherapy may be placed in the artery that feeds the tumor. The port is placed and fixed under the skin in groin or arm. In this way, the chemotherapy drug can be administered directly from the artery to the tumor at the desired time and duration without the need for repeat angiography. 

 

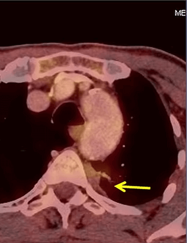
In our patient with lung cancer, PET-CT shows the large tumor (arrow). After 3 sessions of intraarterial chemotherapy, the control PET-CT showed almost complete disappearance of the tumor.

Side effects (complications): Intra-arterial chemotherapy may occasionally cause complications such as bleeding in the groin or occlusion of the arteries due to angiography. Other side effects are due to chemotherapy and include  pain, nausea, elevated blood pressure and decrease in blood counts. In intraarterial chemotherapy, systemic side effects are less, but because the drug is given to a region intensively, local side effects may be more. The most common local side effects are pain and transient redness in the area where the drug is administered.

Prof. Saim Yılmaz MD

Interventional Treatment Methods in Cancer