Lung cancer

Lung Cancer

Lung cancer is one of the most common types of cancer in women and men. It is estimated that approximately 1.6 million people die every year in the world due to lung cancer. Until recently, with the developments in diagnosis and treatment methods, the 5-year life expectancy has increased to approximately 20%.

Approximately 85% of lung cancer cases are related to smoking. Apart from cigarettes, radon gas, asbestosis and air pollution are also important factors. Genetic factors play a role in approximately 8% of all lung cancers. The risk of developing lung cancer in close relatives of lung cancer patients is approximately 2.5 times higher.

 

How is it diagnosed?

Lung cancer is sometimes detected on the films taken with symptoms such as coughing, shortness of breath or sputum. However, nowadays, it is increasingly diagnosed by chance, on films taken for unrelated complaints, or as part of a routine check-up. Lung cancer can be seen on the plain lung film only after reaching a certain size. The best diagnostic tool to detect small lung cancers is computed tomography (CT). On CT, lung cancer is usually seen as a round nodule. However, not every nodule in the lung is cancer; tuberculosis, cyst, infection and aneurysms can also mimic cancer. If a suspected nodule is detected in the lung film or CT, a biopsy should be performed in the next stage. With the biopsy, it will be understood not only whether the nodule is cancer or not, but also what kind of cancer it is and what kind of drugs may be more effective for chemotherapy. Whenever possible, it is useful to take a PET-CT film before the biopsy. Because, PET-CT demonstrates if there is spread in other organs (metastasis), and it also shows the most active parts of the tumors where the biopsy should be preferably taken to get the best possible material.

PET-CT may show dead and living parts of the tumor better than tomography and therefore can guide biopsy. For this reason, PET-CT should be done before biopsy whenever possible.

The ideal biopsy method for the diagnosis of lung tumors is needle biopsy. Although lung biopsy is performed by needle in all developed cancer centers in the world, unfortunately, the most common method worldwide is still surgery. Surgical biopsy is performed under general anesthesia, a large incision occurs in the skin, and chemotherapy and radiotherapy may be delayed because of the long recovery period of the patient. Therefore, needle biopsy should be preferred whenever possible.

Needle biopsy of the lung can be performed percutaneously (from the skin) or via bronchoscopy. Bronchoscopic biopsy is suitable only for tumors close to the main bronchi (other tumors can not be reached) and is generally done by sucking cells via a tiny needle (fine needle aspiration biopsy), which can not identify cancer types and allow molecular and immunohistochemistry studies guiding chemotherapy. As opposed to bronchoscopic biopsy, percutaneous biopsy can be done for tumors located anywhere in the lung including mediastinum. Besides, since it can be done as trucut biopsy obtaining tissue pieces instead of just cells, it is possible to determine the cancer subtypes and also the best possible chemotherapy regimen based on the molecular and immunohistochemistry studies. 

 

However, there are two important factors limiting the widespread use of percutaneous lung biopsy. 1. Physicians who perform the percutaneous biopsy are generally concerned because of the possibility of air leakage (pneumothorax) between the lung membranes during the biopsy. However, the risk of pneumothorax is low (about 10%) and most of them are easy to treat. 2. In percutaneous needle biopsy, a fine needle is preferred instead of trucut biopsy in some centers due to above mentioned concerns, which leads to insufficient or inaccurate results. As a result, in many centers in the world, percutaneous lung needle biopsy is not performed or improperly performed using a fine needle. This situation may lead to a considerable delay in diagnosis or even to misdiagnosis. In our center, lung biopsy is performed as percutaneous trucut biopsy under CT guidance whenever possible, and all the pathologic information can be obtained in several days.

PET-CT may show dead and living parts of the tumor better than tomography and therefore can guide biopsy. For this reason, PET-CT should be done before biopsy whenever possible.

Types of lung cancer:

Cancer from lung tissue is mainly divided into 2 groups. 1. Small cell lung cancer (SCLC) constitutes 10-15% of all lung cancers. 2. Non-small cell lung cancer (NSCLC) constitutes approximately 85% of lung cancers. In the treatment of small cell lung cancer (SCLC), surgery is not performed, but it is sensitive to chemotherapy and radiotherapy and therefore, it may benefit from these treatments. In NSCLC, the main treatment is surgical operation, although chemotherapy, radiotherapy and percutaneous ablation may also be beneficial.

 

NSCLC consists of 3 sub-types; adenocarcinoma, squamous cell carcinoma and large cell carcinoma. In all cases of NSCLC, regardless of the subtype, if the general condition of the patient is appropriate and if the tumor is at an early stage, surgical operation is performed. In some patients, chemotherapy or radiotherapy is given before the operation (neoadjuvant) or after the surgery (adjuvant). In patients with a large tumor but without distant metastasis, chemotherapy prior to surgery may reduce the tumor and make it suitable for operation.

Intraarterial chemotherapy in lung cancer:

In lung cancer, chemotherapy can be given directly into the arteries that supply the tumor instead of into the systemic circulation via a vein, and in this case, its effectiveness increases significantly. For this purpose, it is necessary to correctly determine the arteries that feed the tumor. Unfortunately, classical angiography devices used in hospitals are inadequate for this, and devices that combine angiography and tomography (such as Cone beam angiographies) should be used. With these machines, feeding vessels are easily detected and microcatheters are placed directly into these vessels. Intraarterial chemotherapy is often used to reduce tumor in locally advanced lung cancer and to make the patient suitable for operation. However, it can be applied to increase the life expectancy and quality in patients who do not respond to classical chemotherapy or radiotherapy.

In our patient who had 2 tumors (arrows) in his lung, tumors disappeared after 3 sessions of intraarterial chemotherapy.

Percutaneous ablation in lung cancer:

The first choice in non-small cell (NSCLC) lung cancers is surgery. Surgery can be performed by taking a single lobe (lobectomy) or taking a single lung (pneumonectomy) according to tumor size and extention. However, as lung cancer is more common in older people and smokers, most patients have risk factors such as emphysema, COPD and heart disease that may complicate surgical procedures . Therefore, even if the tumor is at early stage, a significant proportion of NSCLC patients cannot be operated. The classical treatment of such patients is radiotherapy. Although radiotherapy is a successful treatment modality in NSCLC, it has some limitations in multiple tumors and in those located adjacent to the chest wall. Besides, radiotherapy can not be used in the same region if the tumor recurs at the same location. In such patients, percutaneous ablation is applied at an increasing frequency in certain centers around the world as an alternative to radiotherapy.

In our patient who had a 4x5cm non-small cell cancer (arrows) in her right lung, radiofrequency ablation was performed using an umbrella type probe. The control PET-CT at 8 months shows almost complete disappearance of the ablated tumor.

The most common method of percutaneous ablation in lung cancer is radiofrequency. Many studies in the literature have shown that radiofrequency ablation is highly effective and safe. For radiofrequency ablation, the radiofrequency probe is placed in the middle of the tumor under local anesthesia and CT guidance . Then, the patient is given deep sedation or general anesthesia and ablation is performed for 10-15 minutes. After the procedure, the needle is withdrawn and the patient is observed for 3-4 hours. If there are no complications, the patient can be discharged. The most suitable tumors for radiofrequency ablation are those that are located in the middle of the lungs with a diameter of less than 2 cm.

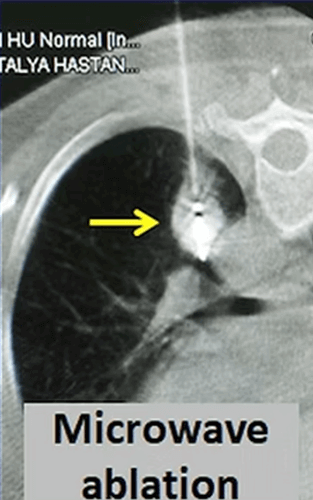
In our patient with a 3 cm tumor (*) in his left lung, microwave ablation was performed using two antennas. The PET-CT taken at 4 months after the procedure shows that the tumor has shrunk markedly and its activity disappeared almost completely.

Another ablation method that has become popular in lung cancer in recent years is microwave. Microwave ablation provides a faster and stronger ablation than radiofrequency. However, unlike liver, there is not enough information about the efficiency and complication rates in the lung. In microwave ablation, the microwave antenna is placed in the center of the tumor with CT guidance and the tumor is ablated for 3-10 minutes under general anesthesia or deep sedation. For microwave, tumors that are located in the middle of the lung and less than 3cm in diameter are more suitable.

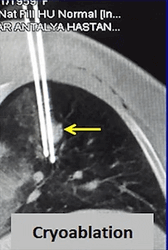
Cryoablation is the newest ablation method in the lung but it is more and more frequently applied for lung cancer. The most important advantages of cryoablation are that it is not painful, can be performed under local anesthesia, can be used in tumors close to the chest wall, the ablation area can be seen as an iceball and larger tumors (> 3cm) can be treated by increasing the number of needles.

In our patient who had a 4x2cm non small cell lung cancer, cryoablation was performed. After the procedure, the 3 and 6 months control CT images show progressive shrinkage of the tumor.

Lung metastases:

Lung is one of the organs attacked most frequently by metastases. Tumors that metastasize to the lung most frequently include breast cancer, large bowel cancer, kidney cancer, head and neck cancer and sarcomas. If the number of lung metastases is high, they grow fast and there are also widespread metastases in other parts of the body, local treatments such as surgery, radiotherapy and percutaneous ablation are not useful. However, in some patients, metastases may be few in number, grow slowly and may be located predominantly or only in the lung. In such patients, a treatment like percutaneous ablation that treats metastases individually can be quite useful.

 

In lung metastases, percutaneous ablation is more advantageous than surgery and radiotherapy, because it can be repeated as many as needed. The most commonly used ablation methods are cryoablation, radiofrequency and microwave as in primary lung cancer. In order for percutaneous ablation to be beneficial, it is important that the metastases are either not numerous (oligometastases) or show a slow growth (oligorecurrence). Because, in patients with lung metastases, ablation must be repeated multiple times at intervals (1-3 months), and only a few metastases can be treated in one session. Therefore, if tumors are numerous and growing rapidly, the treatment will be inadequate and not beneficial to the patient.

In our female patient who had metastases of salivary gland cancer in her lung, microwave ablation was performed to the largest mass with a diameter of 2 cm. One year later, the follow-up CT reveals only a small fibrotic remnant (arrow).

Percutaneous ablation is used with chemotherapy in many patients with lung metastases. Since chemotherapy is effective throughout the body and percutaneous ablation can destroy individual metastases, co-administration of both treatments is generally better. In some patients, metastases may grow or recur despite radiotherapy. In such patients, percutaneous ablation is mandatory since re-therapy with radiation cannot be performed again. In other patients, tumors may be resistant to chemotherapy and radiotherapy. Percutaneous ablation may be the only treatment option for lung metastases of such tumors, including sarcomas, kidney cancer and malignant melanoma.

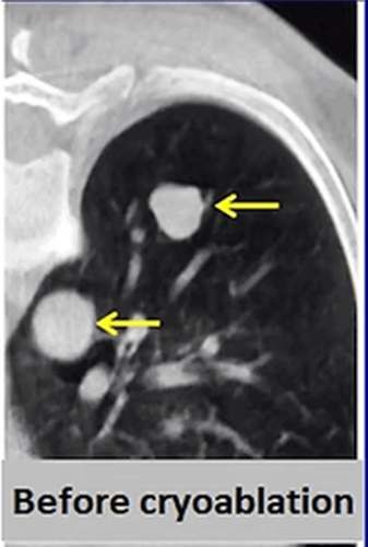
In the same patient, 2 metastases that grew after 2 years were cryoablated using 2 needles. Three months later, the control CT shows that both masses have shrunk and become a residue.

In conclusion, percutaneous ablation is a safe and effective treatment method in lung metastases when applied in experienced centers and under favorable conditions. The most important advantages of percutaneous ablation over radiotherapy are less damage to surrounding normal lung tissue, ability to treat tumors adjacent to the chest wall and treat the same tumor repeatedly if recurrence occurs. Besides, percutaneous ablation can be done in one session as opposed to radiotherapy that takes weeks to be completed. However, in order for percutaneous ablation to be beneficial, it is necessary to treat the maximum number of metastases in the most effective way by minimizing the lung damage during the procedure. Therefore, percutaneous ablation of lung tumors should be performed only in centers with sufficient equipment and experience.

Prof. Saim Yılmaz MD

Interventional Treatment Methods in Cancer